Уважаемые пациенты! Не работаем с 31 декабря по 5 января.

СПб, Театральная площадь 6

Садовая, Спасская, Сенная площадь

Время работы: пн-сб – 9:00-21:00, вс – выходной

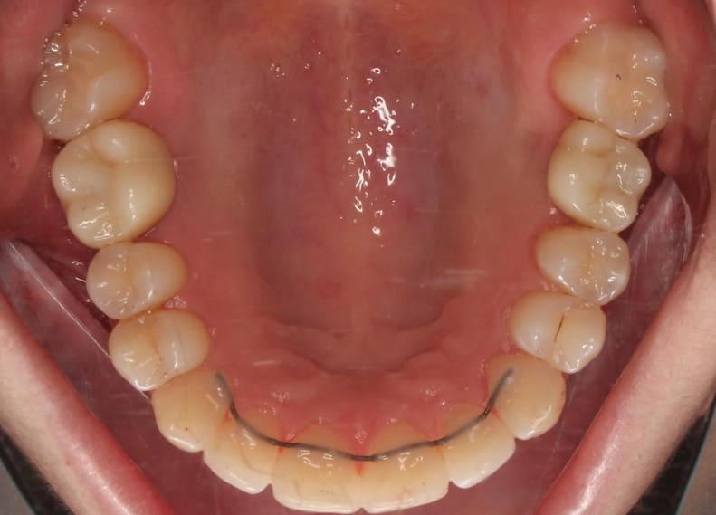
Комплексное лечение на элайнерах Eurokappa (2,5 года)

Комплексное лечение пациента заняло 2,5 года. Лечение неправильного прикуса на элайнерах Eurokappa, с последующей установкой ретейнера. Также проведена имплантация зубов Dentium, и установлены коронки из Диоксид Циркония на жевательные зубы.

Направление: Протезирование

1 / 2

2 / 2

Комплексное лечение пациента заняло 2,5 года. Лечение неправильного прикуса на элайнерах Eurokappa, с последующей установкой ретейнера. Также проведена имплантация зубов Dentium, и установлены коронки из Диоксид Циркония на жевательные зубы.