[раскрыть]
Эстетическая (художественная) реставрация зубов — это особый способ их восстановления, когда стоматолог тщательно подбирает оттенок материала и воссоздает анатомически точную форму зуба. В стоматологической клинике OrthoLove используются импортные пломбировочные материалы, которые выглядят эстетично и служат более 7 лет.
Что такое эстетическая реставрация зубов
Современные пациенты предъявляют максимально высокие требования к восстановлению зубов после лечения кариеса. Традиционное пломбирование в нашей стоматологии заменила эстетическая реставрация зубов. Это означает использование новейших пломб светового отверждения (световых пломб) и более тщательные, продуманные подходы к реставрации зубов.
- Материалы с макрочастицами позволяют точно воссоздавать мельчайшие детали любой части зубной поверхности (естественные неровности, фиссуры).
- Точный подбор оттенка по шкале VITA для конкретного пациента — в результате пломба никак не выделяется во рту.
- Абсолютная гипоаллергенность — материалы не токсичны, безопасны и подходят для реставрации зубов большинству пациентов.
- Высокий уровень эстетики — пломбу можно отполировать до естественного блеска, как у натуральной зубной эмали, что особенно важно для передних зубов.
- Серьезная жевательная нагрузка — специальные добавки из диоксида циркония и других частиц добавляют пломбам прочности, износостойкости.
Показания к реставрации
Чаще всего повод, чтобы записаться на реставрацию, — это восстановление зуба после лечения кариозной полости или травмы, когда откалывается кусочек твердых тканей. Если разрушения занимают менее трети всего объема зуба, оптимально отреставрировать его световой пломбой.
Если же объем отсутствующей части больше, рекомендуем керамические вкладки или коронки. Кроме того, для реставрации передних зубов мы используем виниры — тонкие несъемные накладки из керамики. Они помогают избавиться от эстетических дефектов.
Показания к реставрации зуба:
- трещины и сколы
- щели и зазоры между зубами
- искривленные зубы с дефектами
- пятна и потемнения эмали
- проявившийся контраст между пломбой и зубом
- дефекты тканей эмали
- разрушение зуба
- флюороз
Виды реставрации зубов
В зависимости от индивидуального случая пациента врач предлагает подходящий вариант восстановления зуба.
-
Художественная реставрация композитными материалами или вкладками. Выбирают, когда разрушение зуба менее 30%. Чаще всего пломбирование используют для восстановления после небольших сколов и легкой степени кариеса. Для более обширных участков используют вкладки из прочных керамических безметалловых конструкций.
-
Восстановление передних и фронтальных зубов винирами и люминирами. Подходит для восстановления зубов при небольших сколах, трещинах. Хорошо справляется с промежутками и щелями между передними зубами. Накладки ставят и при дефектах эмали, потемнениях, пятнах, разрешении слоя.
-
Восстановление жевательных зубов протезами. Протезы ставятся при существенном разрушении зуба, когда вкладки или пломбы уже недостаточно. Это поражение зуба более чем на 30%. При повреждении сразу нескольких стоящих рядом зубов можно установить зубной мост (монолитная конструкция из нескольких зубных единиц, слитых в одну)

Реставрация композитными материалами
Для реставрации во всем мире применяют светоотверждаемые композиты. В составе — гелиокомпозит, стеклокерамика, стабилизаторы, красящие пигменты. Композит затвердевает под воздействием ультрафиолетового света. В изначальном виде он пластичный, врач может провести композитную реставрацию зубов любой сложности. А после обработки специальной УФ-лампой материал затвердевает в течение нескольких секунд.
Мы предлагаем пациентам хорошо зарекомендовавшие себя композитные материалы от ведущих мировых производителей. Они оставляют стоматологу огромный простор для творчества и в буквальном смысле позволяют превратить восстановление зуба в художественную реставрацию сродни работе скульптора. Особенное значение придаем выбору материалов для реставрации передних зубов, так как понимаем, насколько важна пациентам красивая улыбка без дефектов.
ЗАПИШИТЕСЬ НА ПРИЁМ
3 причины обратиться в стоматологию OrthoLove
Особенности материалов для художественной реставрации передних и жевательных зубов
Специальные составы применяются для эстетической реставрации различных зубов: для жевательной зоны более важна прочность, для передних зубов — эстетичность и естественность. У наших стоматологов всегда есть выбор более чем из 20 оттенков материала, поэтому мы можем создавать действительно «невидимые» пломбы.
Материалы обладают малой пористостью, поэтому их можно отполировать до гладкости — на такой поверхности образуется меньше бактериального налета. Кроме того, они минимально подвержены пигментированию (окрашиванию).
Немаловажна и доступность цены на художественную реставрацию композитными материалами. Такие пломбы при должном уходе служат 7—10 лет, а их стоимость ниже, чем у керамических вкладок.
Качественные пломбы даже спустя несколько лет после стоматологической реставрации дают лишь минимальную усадку. А это значит, что между материалом и зубными тканями отсутствует зазор.
Этапы реставрации
Восстановление зуба проходит после удаления инфицированных тканей, пульпы, очистки и герметизации корневых каналов. Саму реставрацию мы проводим непосредственно в ротовой полости.
- Врач подбирает оттенок материала.
- Глаза пациента защищают от ультрафиолета очками.
- На зуб слой за слоем наносят композит, каждый из них обрабатывают УФ-лампой 1-2 минуты.
- Пломбу шлифуют для идеального смыкания зубных рядов.
- Поверхность полируют до естественного блеска.
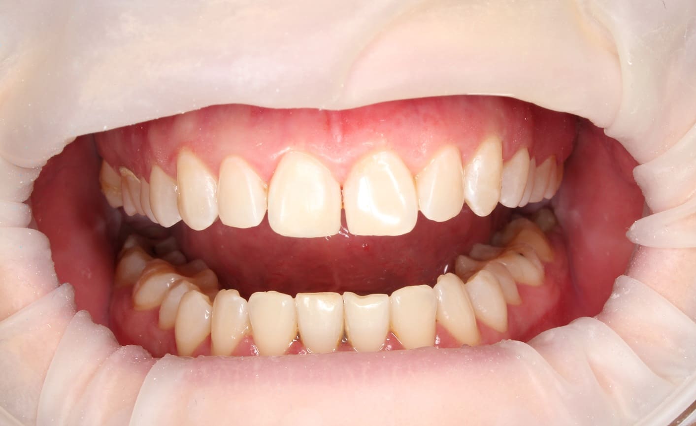
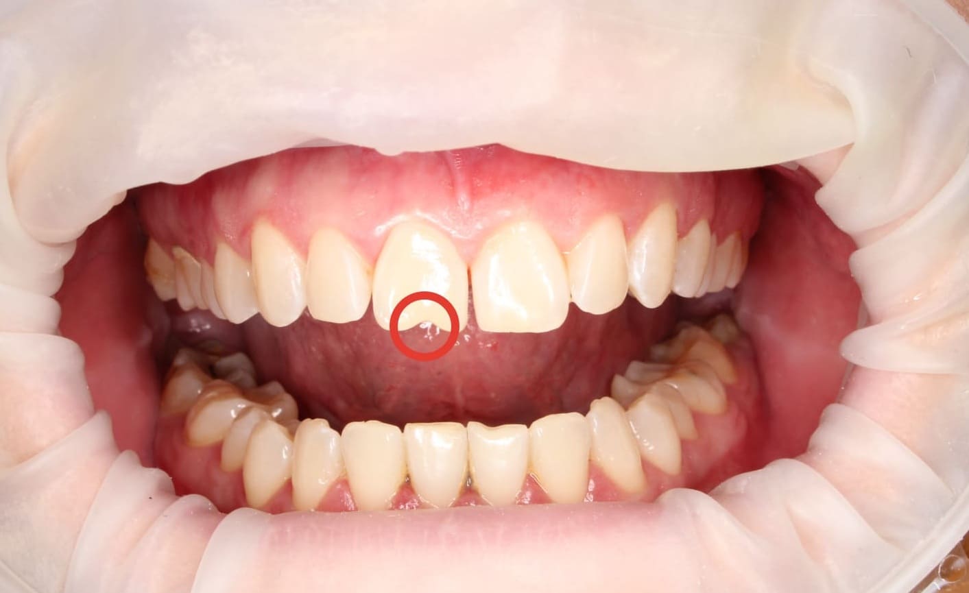
Примеры работ
Акции
Сколько стоит реставрация зуба
В стоматологии OrthoLove вы сможете отреставрировать зубы красиво, надежно и по приемлемой цене. Для записи на прием заполните заявку на обратный звонок на сайте.
Протезирование
|
Консультация (осмотр и прием) врача стоматолога-ортопеда
|
1 500 руб. |
Лечение зубов
|
Художественная реставрация зуба в зоне улыбки (способ нанесения кисточками) Включает: осмотр врача-эстетиста, индивидуальный подбор оттенка зуба, препарирование, нанесение композитного материала и создание естественной формы, светоотверждение, обработка зуба, снимок РВГ |
от 10 000 руб. |
|
Реставрация жевательной группы зубов Включает: осмотр врача-терапевта, индивидуальный подбор материала, препарирование, нанесение композитного материала и создание естественной формы, светоотверждение, обработка зуба, снимок РВГ |
от 8 000 руб. |
Эстетика
|
Восстановление зуба виниром из керамики E-Max Включает: осмотр, консультация врача-ортопеда, снимок РВГ, препарация зуба, подбор цвета и оттенка, снятие слепка, лабораторное изготовление винира, фиксация |
от 40 000 руб. |
|
Восстановление зуба виниром из композитного материала материала (композитный винир) Включает: осмотр, консультация врача-терапевта-ортопеда, подготовка зуба, подбор цвета, формы и оттенка, реставрация, полировка |
от 12 000 руб. |
|
Восстановление зуба виниром из материала Overlay (E-MAX) Включает: осмотр, консультация врача, снимок РВГ, препарация зуба, подбор цвета и оттенка, снятие слепка, изготовление композитного винира, фиксация. |
35 000 руб. 40 000 руб. |
Циркониевые виниры
|
Циркониевые виниры
|
40 000 руб. |
Наши врачи
Лицензии стоматологии
Все лицензииПОЛУЧИТЬ КОНСУЛЬТАЦИЮ













