Уважаемые пациенты! Не работаем с 31 декабря по 5 января.

СПб, Театральная площадь 6

Садовая, Спасская, Сенная площадь

Время работы: пн-сб – 9:00-21:00, вс – выходной

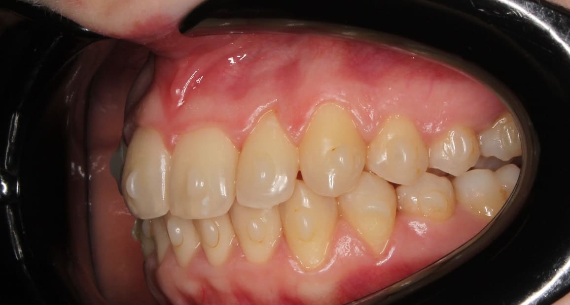
До и После: Промежуточный этап лечения на элайнерах

Промежуточный этап ортодонтического лечения на элайнерах Eurokappa 1 год 2 месяца

Направление: Исправление прикуса

1 / 3

2 / 3

3 / 3

Промежуточный этап ортодонтического лечения на элайнерах Eurokappa 1 год 2 месяца