Уважаемые пациенты! Не работаем с 31 декабря по 5 января.

СПб, Театральная площадь 6

Садовая, Спасская, Сенная площадь

Время работы: пн-сб – 9:00-21:00, вс – выходной

Ортодонтическое лечение на самолигирующейся брекет-системе

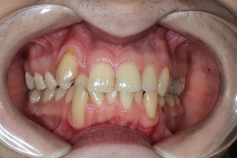
Ортодонтическое лечение на самолигирующейся брекет-системе заняло 2,5 года.

Направление: Исправление прикуса

1 / 4

2 / 4

3 / 4

4 / 4

Ортодонтическое лечение на самолигирующейся брекет-системе заняло 2,5 года.