Уважаемые пациенты! Не работаем с 31 декабря по 5 января.

СПб, Театральная площадь 6

Садовая, Спасская, Сенная площадь

Время работы: пн-сб – 9:00-21:00, вс – выходной

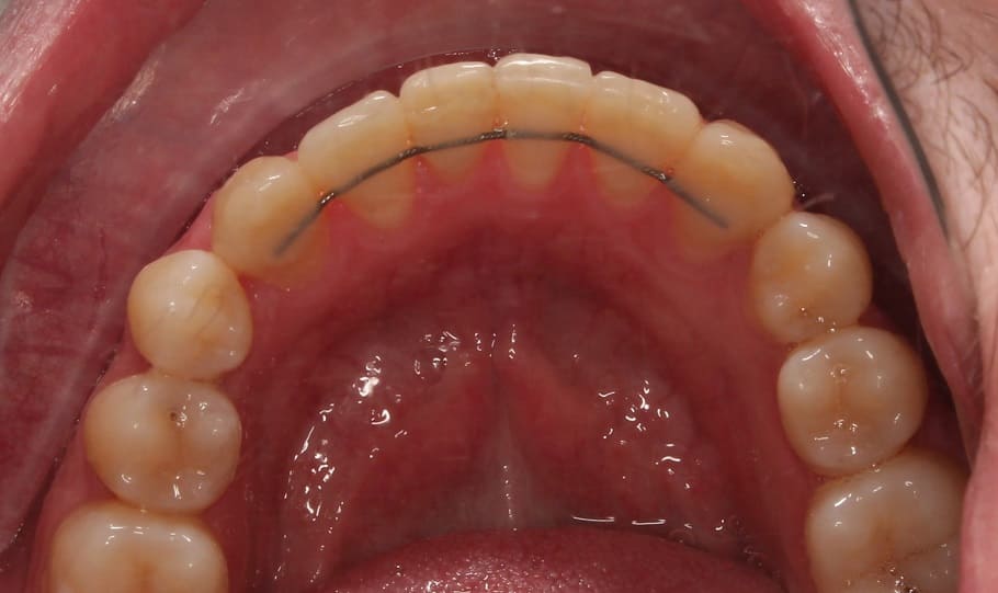
До и После: Лечение на самолигирующей брекет-системе Н4

Лечение на самолигирующей брекет-системе Н4. Ортодонтическое лечение заняло 2 года.

Направление: Исправление прикуса

1 / 5

2 / 5

3 / 5

4 / 5

5 / 5

Лечение на самолигирующей брекет-системе Н4. Ортодонтическое лечение заняло 2 года.