Уважаемые пациенты! Не работаем с 31 декабря по 5 января.

СПб, Театральная площадь 6

Садовая, Спасская, Сенная площадь

Время работы: пн-сб – 9:00-21:00, вс – выходной

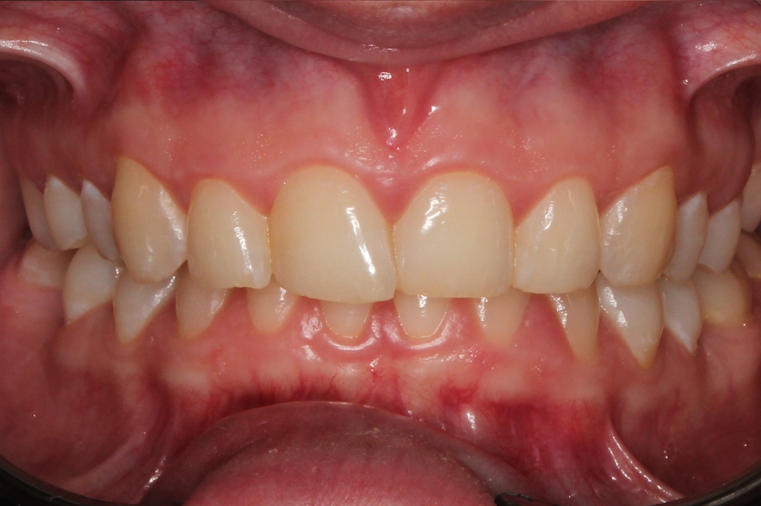
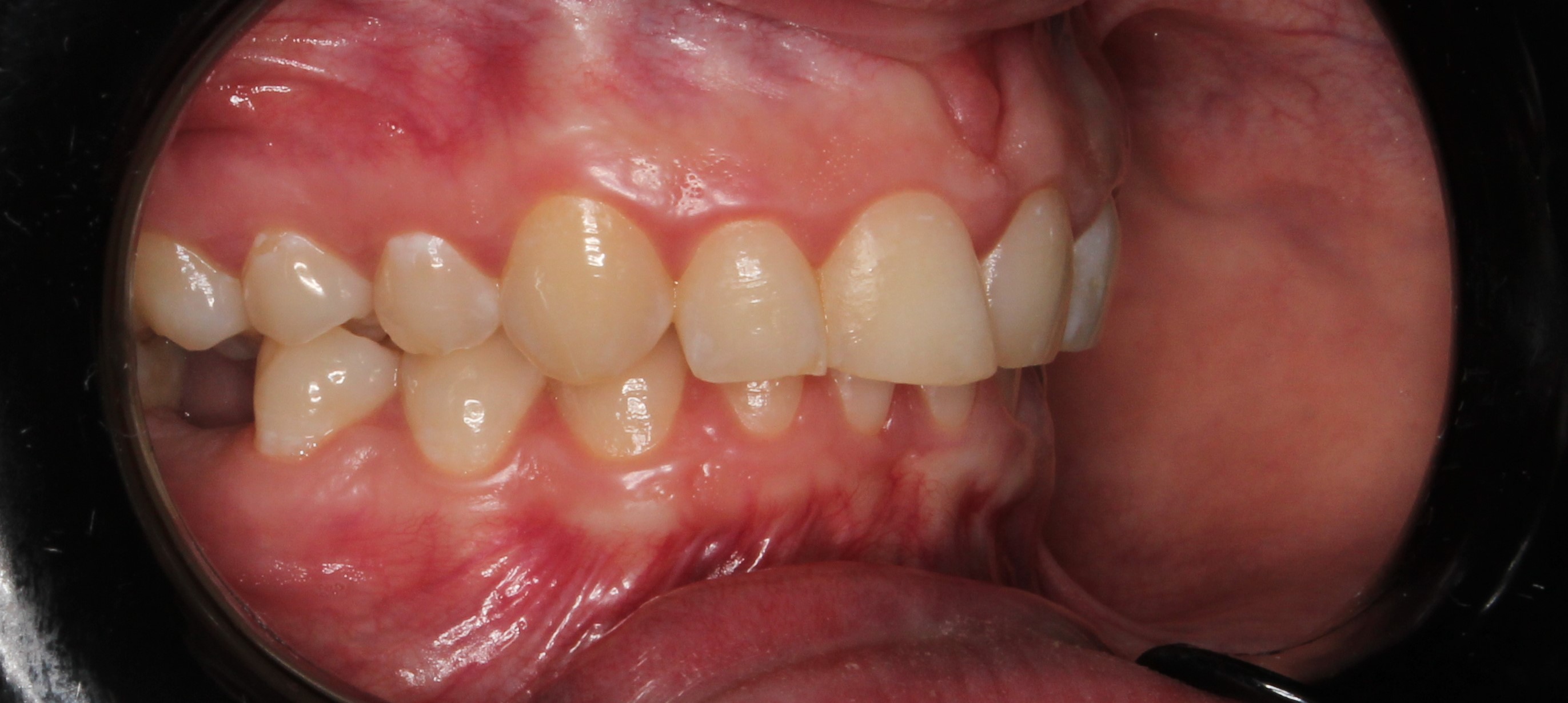
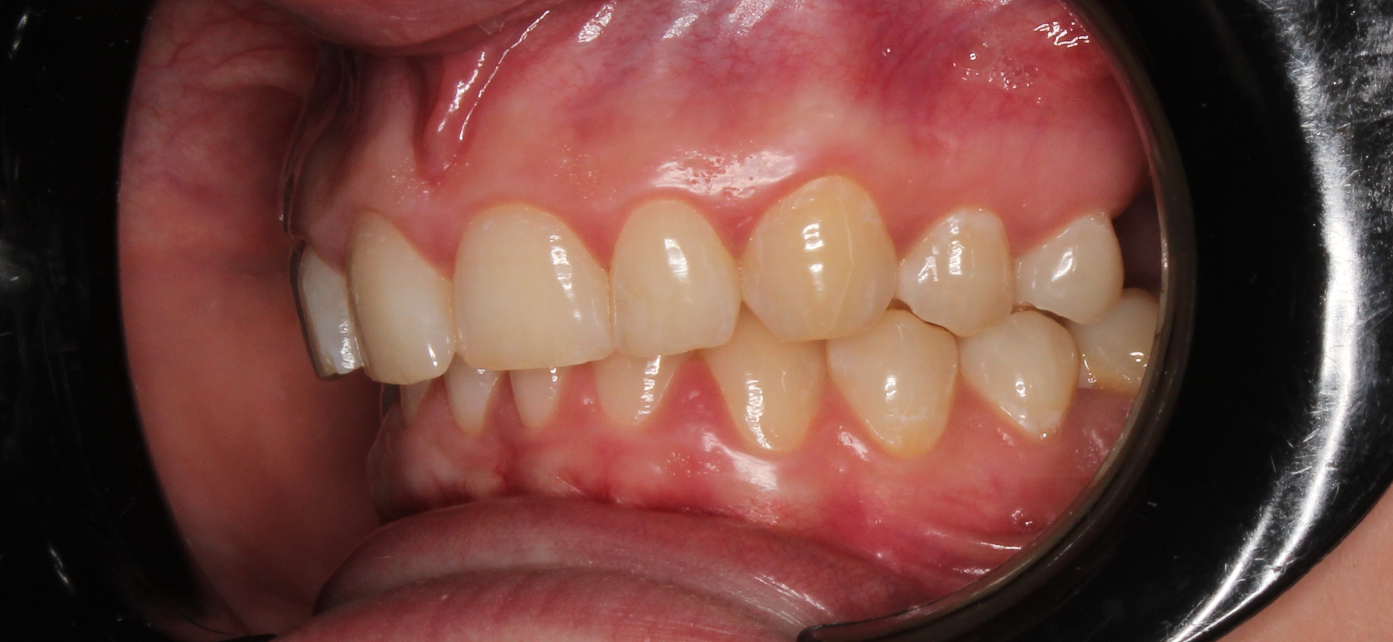
До и После: Лечение глубокого прикуса элайнерами

Лечение глубокого прикуса элайнерами. Начало лечения. Фиксация элайнеров

Направление: Исправление прикуса

1 / 6

2 / 6

3 / 6

4 / 6

5 / 6

6 / 6

Лечение глубокого прикуса элайнерами. Начало лечения. Фиксация элайнеров