Уважаемые пациенты! Не работаем с 31 декабря по 5 января.

СПб, Театральная площадь 6

Садовая, Спасская, Сенная площадь

Время работы: пн-сб – 9:00-21:00, вс – выходной

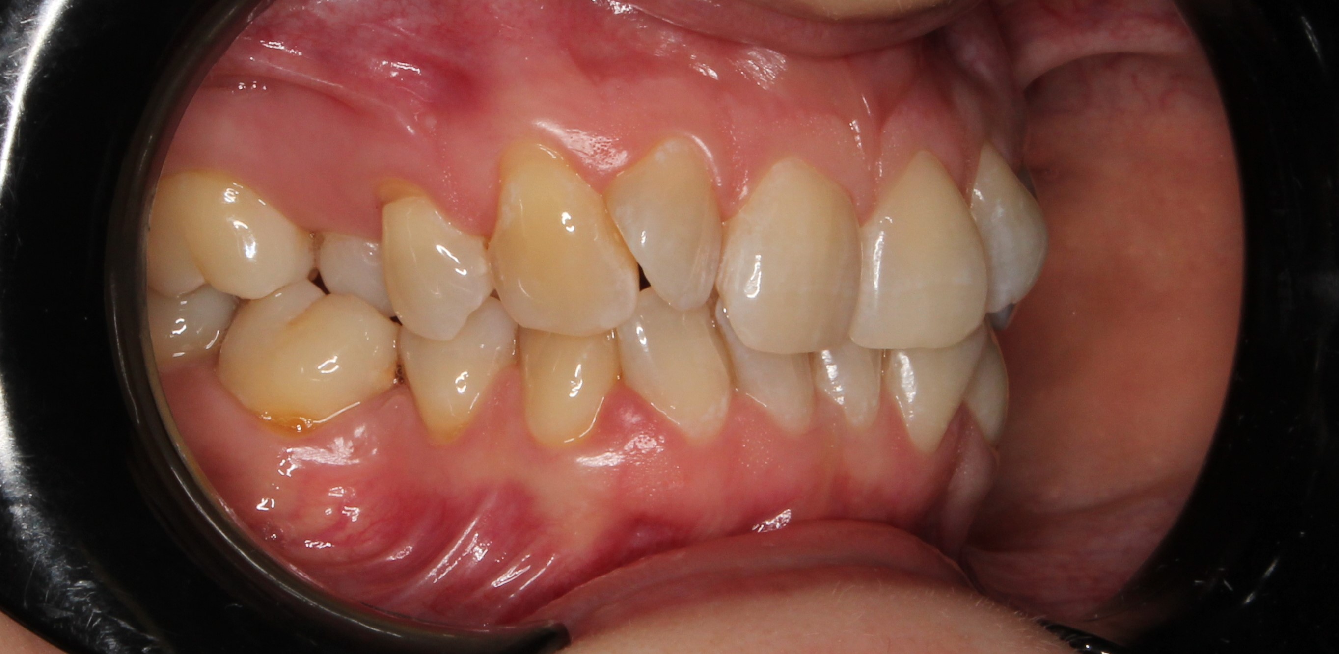
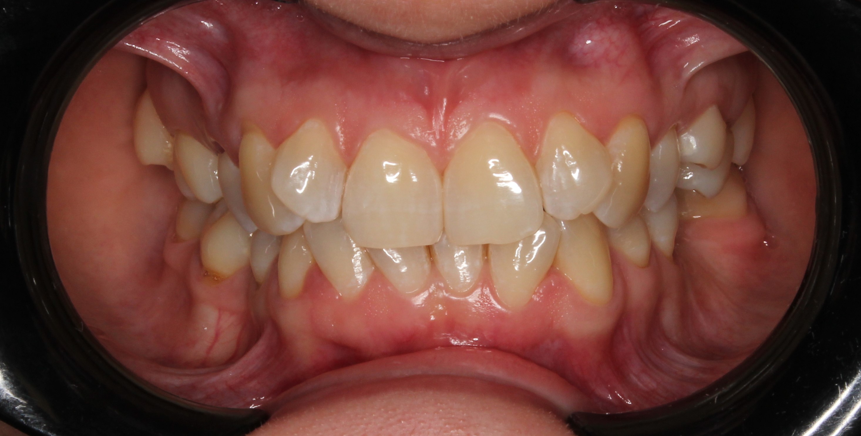
До и После: Фиксация элайнеров Eurokappa на зубы

Начало лечения на элайнерах Eurokappa. Фиксация аттачментов и установка незаметных капп для выравнивания зубов.

Направление: Исправление прикуса

1 / 3

2 / 3

3 / 3

Начало лечения на элайнерах Eurokappa. Фиксация аттачментов и установка незаметных капп для выравнивания зубов.