Уважаемые пациенты! Не работаем с 31 декабря по 5 января.

СПб, Театральная площадь 6

Садовая, Спасская, Сенная площадь

Время работы: пн-сб – 9:00-21:00, вс – выходной

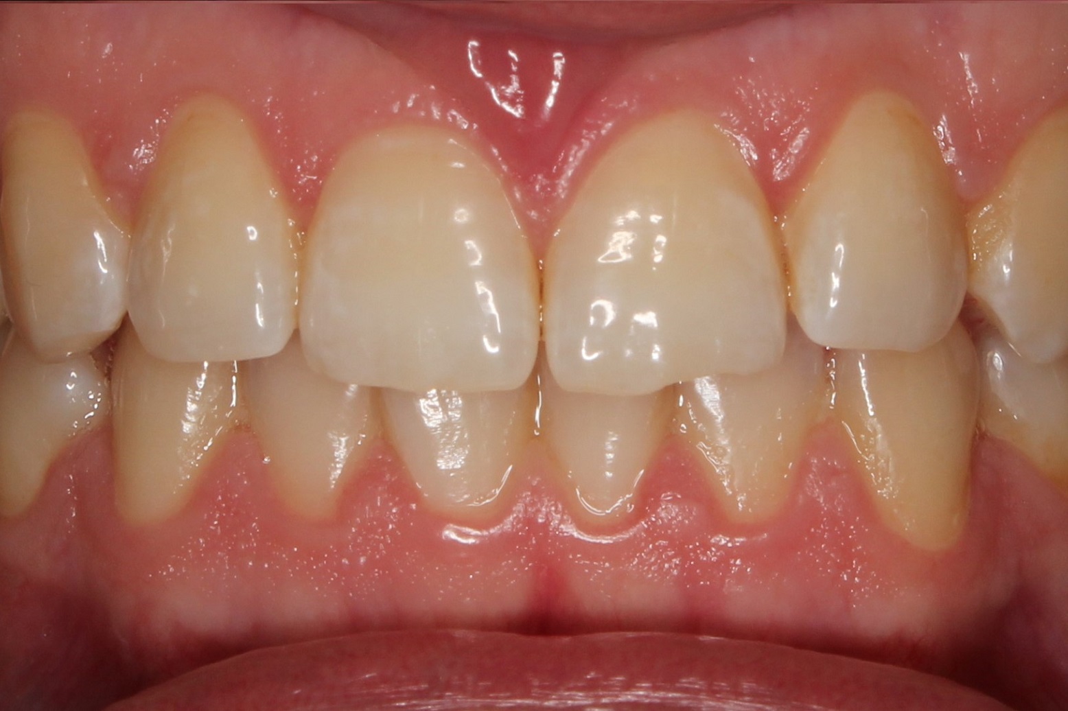
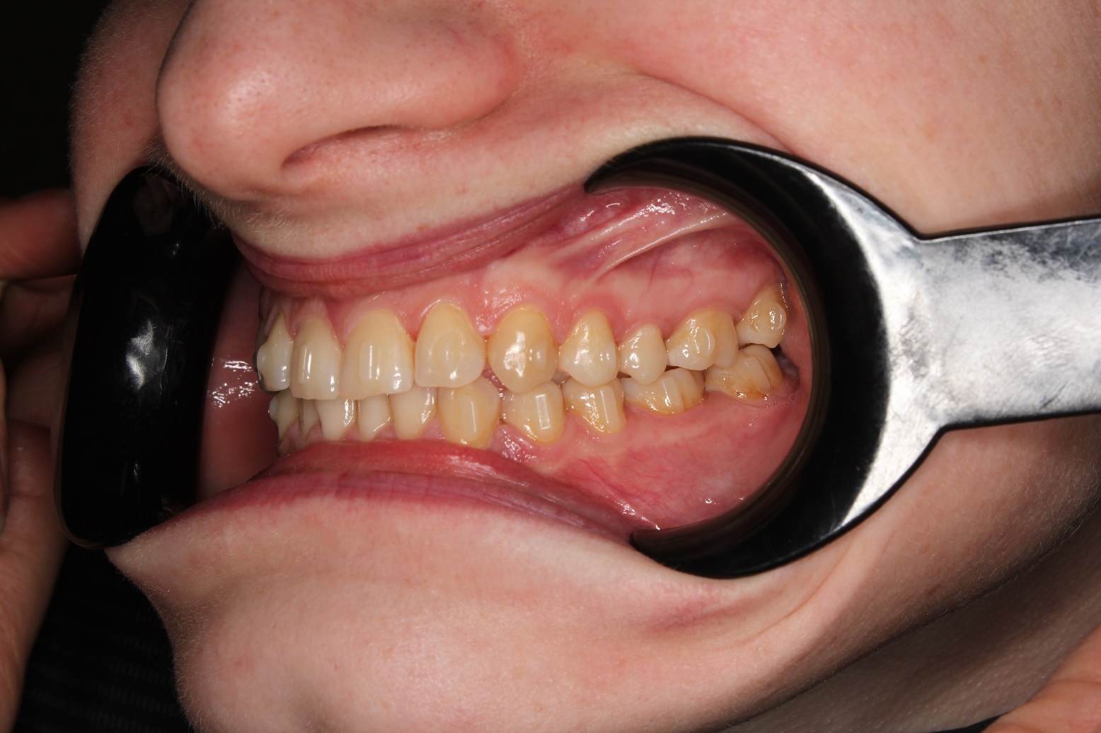
До и После: Фиксация элайнеров Eurokappa

Начало ортодонтического лечения.

Направление: Исправление прикуса

1 / 9

2 / 9

3 / 9

4 / 9

5 / 9

6 / 9

7 / 9

8 / 9

9 / 9

Начало ортодонтического лечения.