Уважаемые пациенты! Не работаем с 31 декабря по 5 января.

СПб, Театральная площадь 6

Садовая, Спасская, Сенная площадь

Время работы: пн-сб – 9:00-21:00, вс – выходной

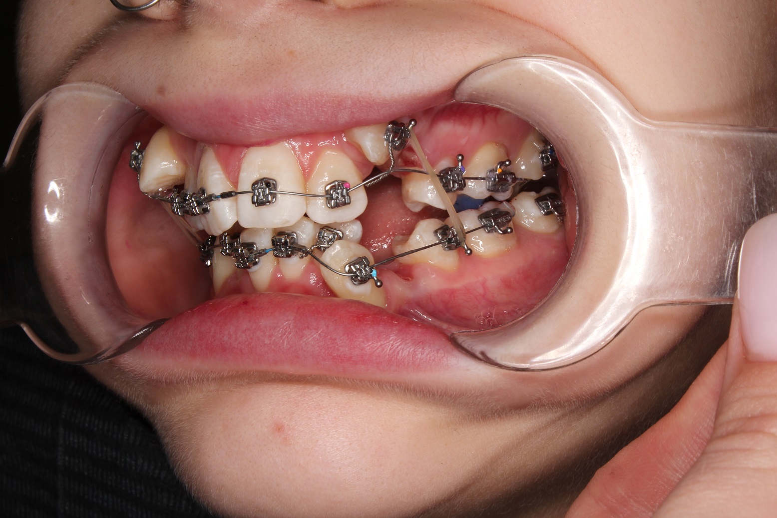
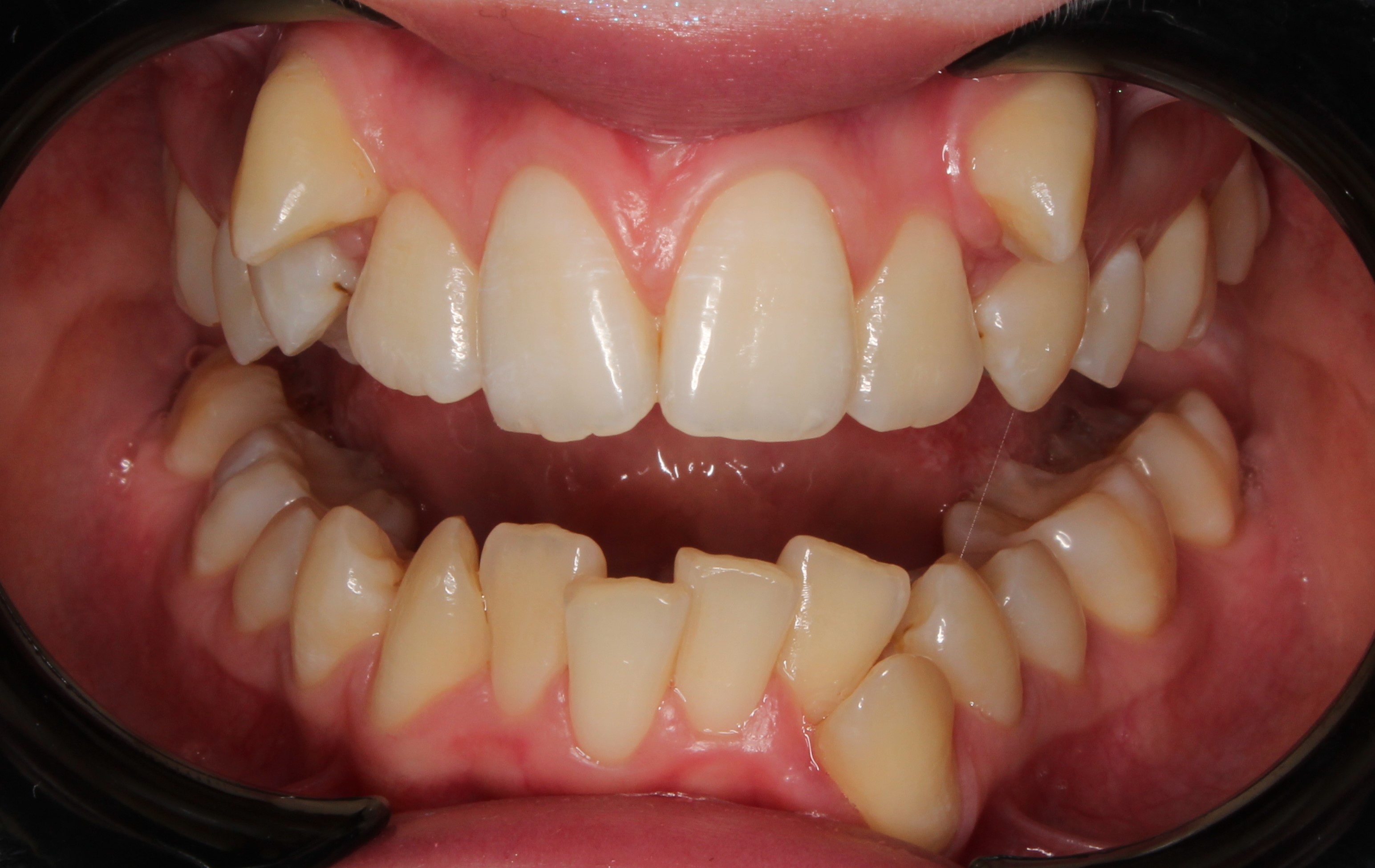
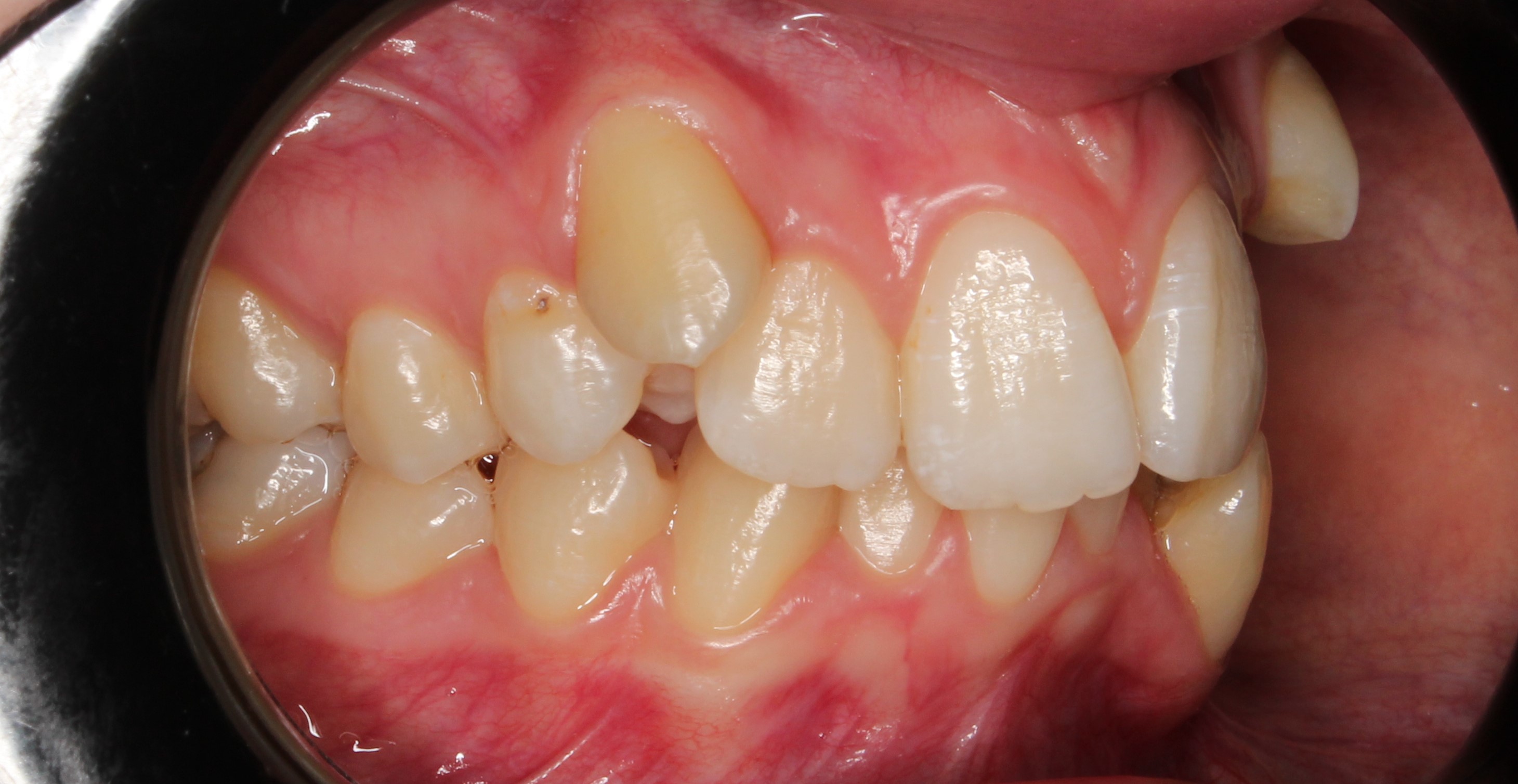
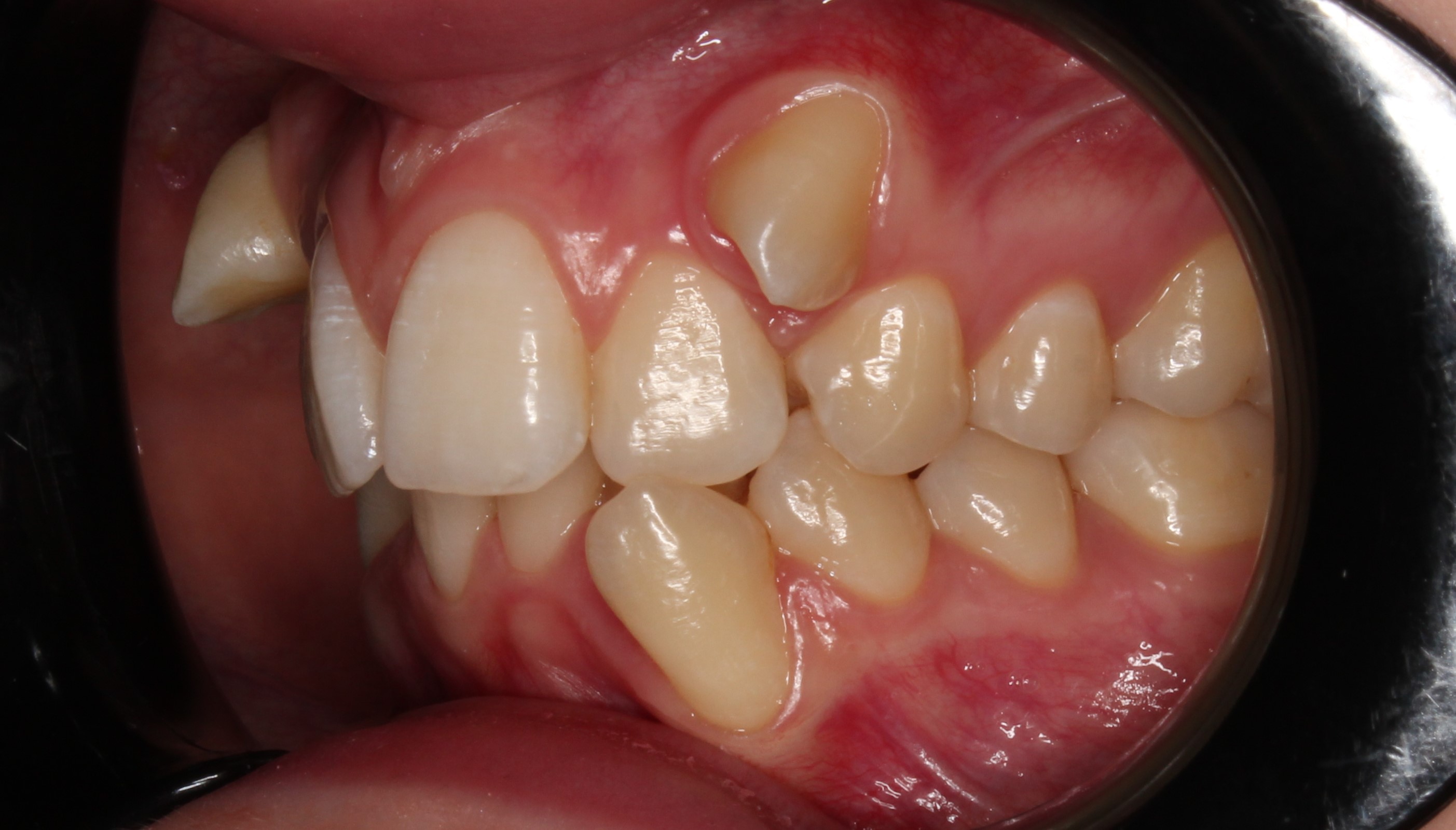
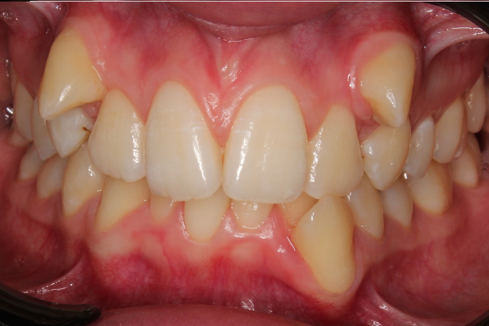
До и После: Фиксация брекетов

1 / 7

2 / 7

3 / 7

4 / 7

5 / 7

6 / 7

7 / 7