Уважаемые пациенты! Не работаем с 31 декабря по 5 января.

СПб, Театральная площадь 6

Садовая, Спасская, Сенная площадь

Время работы: пн-сб – 9:00-21:00, вс – выходной

Восстановление Зубов за 1 день по технологии все на 4-х

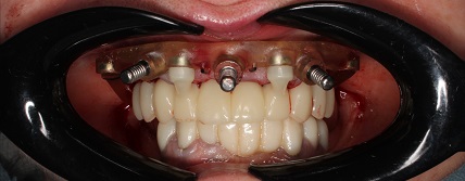
Восстановление Зубов за 1 день по технологии все на 4-х. Пациент обратился с жалобами на отсутствия Зубов. Была проведена операция по установке четырех имплантов и установлен временный адаптационный протез длительного ношения. Фотография сделана на третий день после операции.

Направление: Имплантация

1 / 2

2 / 2

Восстановление Зубов за 1 день по технологии все на 4-х. Пациент обратился с жалобами на отсутствия Зубов. Была проведена операция по установке четырех имплантов и установлен временный адаптационный протез длительного ношения. Фотография сделана на третий день после операции.