Уважаемые пациенты! Не работаем с 31 декабря по 5 января.

СПб, Театральная площадь 6

Садовая, Спасская, Сенная площадь

Время работы: пн-сб – 9:00-21:00, вс – выходной

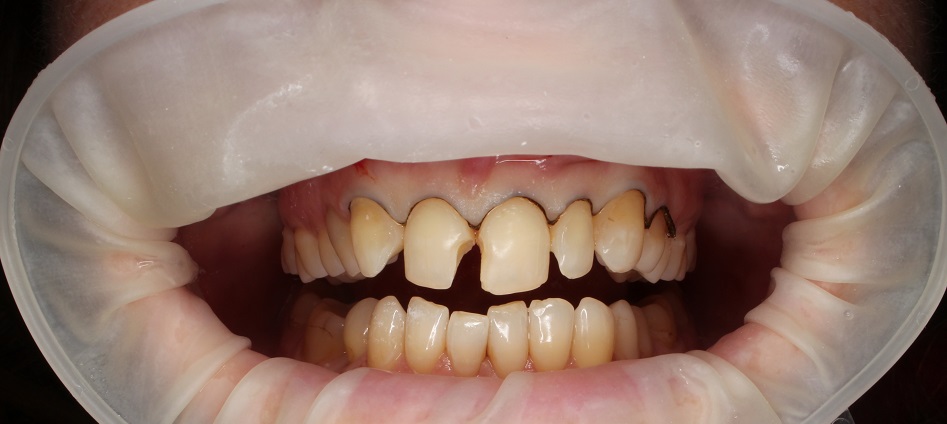
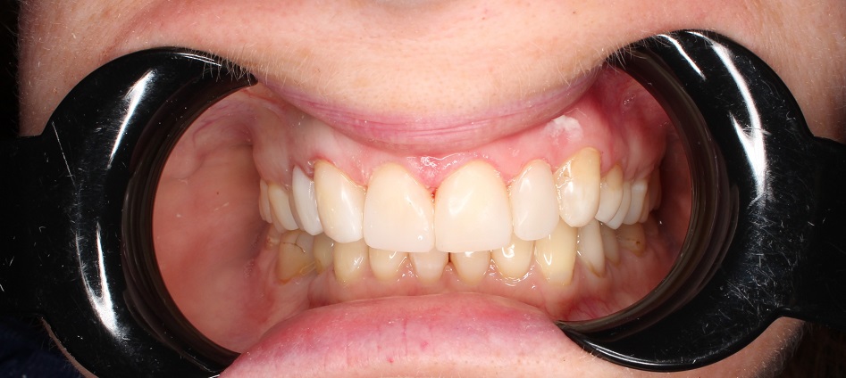
Реставрация и подготовка перед установкой виниров

Малиновская (.И.

Пародонтолог, имплантолог, ортопед, хирург

Малиновская (.И.

Пародонтолог, имплантолог, ортопед, хирург

Эстетическая реставрация композитным материалом (подготовка зубов в зоне улыбки к протезированию винирами)

Направление: Эстетика

1 / 3

2 / 3

3 / 3

Эстетическая реставрация композитным материалом (подготовка зубов в зоне улыбки к протезированию винирами)

Малиновская (.И.

Пародонтолог, имплантолог, ортопед, хирург